Smile Makeovers Bangkok Cosmetic Dentists Reviews and Testimonials
   

Bangkok Cosmetic Dentists Reviews and Testimonials

What are the reviews on having smile makeovers done in Thailand?

Common concerns on seeking dental treatments in Thailand is whether it is safe and what to expect out of the treatment. Prior to coming to Thailand for smile makeover treatment or any treatment, find out waht you need to prepare and what process you will be expecting.

You will likely read mixed dental reviews on websites and forums on smile makeovers in Thailand. Every case is individualized and each person has their own expectations. If you do know what to expect out of your treatment, the more satisfied you would be.

In safeguarding your interests, an important factor is to ensure that the dental clinic you do book with is licensed. Every dental clinic in Thailand will need to display their license number at the front of their dental clinic or dental center and is normally purple in color. If ever in doubt, ask the staff for the dental clinics' license number.

Another factor of concern is the sterilization facilities of the cosmetic dental clinic in thailand. At our bangkok cosmetic dental clinics, we welcome our patients in checking our instruments and asking on our sterilization efforts in ensuring that they are safe.

Email and communicate to us or your choice of cosmetic dental clinic in thailand prior to planning your trip to ensure you are comfortable with the management, dentist qualifications, staff and process.

 

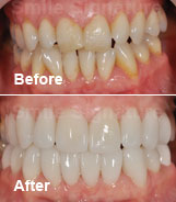
Smile Makeover Before and Afer Photos

 

Full Mouth Dental Veneers

Dentist: Bangkok Cosmetic Dentists

Country: Australia

Concerns : Discolored teeth, mildly crooked lower teeth, irregularities in teeth

Treatment : Tooth whitening, IPS Empress Esthetic porcelain veneers

Comments : "My new smile is amazing.... thank you so much"

 

     
 

Upper Dental Veneers

Dentist: Bangkok Cosmetic Dentists

Country: USA

Concerns : yellowish stained teeth, decay and damage on certain teeth

Treatment : Scaling & Cleaning, Fillings, Tooth whitening, IPS Empress porcelain veneers

 

     
 

Full Mouth Dental Veneers

Dentist: Bangkok Cosmetic Dentists

Country: Australia

Concerns : Uneven brands and color in

Treatment : IPS Empress Esthetic porcelain veneers

Comments : "I'm so happy with my new smile. Its one of the best decisions I've made. The staff is friendly. Everything was wonderful."

 

  Bangkok Cosmetic Dental Clinic
 

Smile Signature Dental Clinics

 
  contact@smilesignature.com  
     
 

Smile Signature at Siam Square

 
  205/2-3 Phyathai Rd  
  Pratuwan District  
  Bangkok 10330  
  Overseas Dial +66-2-658-4500
 
  Local Dial 02-658-4500, 02-658-4774
 
  Location Map  
     
 

Smile Signature at Ratchadapisek

 
  257/26 Ratchadapisek Rd  
  Din Deang District  
  Bangkok 10400  
  Overseas Dial +66-2-693-6933  
  Local Dial 02-693-6933  
     
 

Smile Signature at Srinakarin

 
  Seacon Square Mall, Level 3  
  Room No.3017, opposite Robinson  
  55 Srinakarin Road  
  Nongbon, Prawet District  
  Bangkok 10250  
  Local Dial 02-721-9100, 02-721-9101  
     
 

Smile Signature at Phahoyothin

 
  1701 / 12 Phaholyothin Rd.  
  Jatujak District  
  Bangkok 10900
 
  Local Dial 02-930-1144, 02-930-1812  
  Location Map  
     
 

Smile Signature at Ramintra

 
  358 Ramintra Rd.  
  Bueng Kum District  
  Bangkok 10220  
  Local Dial 02-943-5858, 02-943-2955  
     
  Testimonials  
     
   
Copyright © 2010 All Rights Reserved www.BangkokCosmeticDentist.com
Thailand Dental Makeover | Dental Crowns | Dental Veneers | Cosmetic Dentists in Thailand | Zoom Tooth Whitening Thailand |
Laser Tooth Whitening Thailand | Thailand Dental Reviews |